|
Medicine by Alexandros G. Sfakianakis,Anapafseos 5 Agios Nikolaos 72100 Crete Greece,00302841026182,00306932607174,alsfakia@gmail.com,
Πληροφορίες
Ετικέτες
Κυριακή 29 Αυγούστου 2021
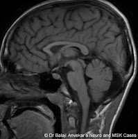
Ears of the lynx sign MRI Brain
Εγγραφή σε:
Σχόλια ανάρτησης (Atom)
Αρχειοθήκη ιστολογίου
-
►
2023
(276)
- ► Φεβρουαρίου (133)
- ► Ιανουαρίου (143)
-
►
2022
(1976)
- ► Δεκεμβρίου (116)
- ► Σεπτεμβρίου (158)
- ► Φεβρουαρίου (165)
- ► Ιανουαρίου (161)
-
▼
2021
(3661)
- ► Δεκεμβρίου (161)
- ► Σεπτεμβρίου (274)
-
▼
Αυγούστου
(399)
- Informational Masking Effects of Speech Versus Non...
- Awake Rhinology Surgery in Response to the COVID-1...
- Complications of facial cosmetic botulinum toxin A...
- Burnout in microvascular reconstructive otolaryngo...
- Microwave ablation of benign thyroid nodules: 3‐ye...
- Acute appendicitis secondary to desmoplastic melan...
- CircAGFG1 acts as a sponge of miR-4306 to stimulat...
- Can intensity modulation of the auditory response ...
- Robotic rectal resection preserves anorectal funct...
- Reading and comprehension: phoniatric assessment i...
- Transmastoid exposure of the labyrinthine segment ...
- A challenging TSH/GH co-secreting pituitary adenom...
- Identification of Two Different Phenotypes of Pati...
- Validity and Reliability of the French Short Versi...
- A Preliminary Report on the Correlation Between Na...
- Depression in the pediatric otolaryngology clinic ...
- Can Resident Auditory-Perceptual Voice Assessments...
- Glottal Voice Distortions: Nasolaryngoscopic and S...
- Twelve years of neonatal hearing screening: audiol...
- Clinical Characteristics of Older Adults Seeking H...
- Treatment of Postinfectious Olfactory Dysfunction ...
- Optimized fitting of a midface implant to anchor a...
- Insights into multidrug-resistant K. pneumoniae ur...
- Astragaloside IV alleviates heart failure by regul...
- Giant chondroid lipoma of the breast: A case repor...
- Fumaric acid and succinic acid treat gestational h...
- Behavioral Interventions Targeting Insufficient Up...
- Man with headache and altered mental status
- Dual laryngeal reinnervation in bilateral vocal fo...
- Additive Manufacturing for Personalized Skull Base...
- The potential of the incorporated collagen microsp...
- BMP2 downregulates urokinase-type plasminogen acti...
- Catamnesis after a single intervention for tinnitu...
- Do people living with HIV face more secondary canc...
- Regression of nevi, vitiligo-like depigmentation a...
- Nivolumab exposure in a hemodialysis patient with ...
- Expression of the cancer stem cell marker OCT4 is ...
- COVID-19 vaccination mimicking lymph-node progress...
- Aseptic cystitis induced by nivolumab and ipilimum...
- Metastatic acral melanoma treatment outcomes: a sy...
- Clinical implications of alpha, beta, and gamma HP...
- Adenoidectomy for middle ear disease in cleft pala...
- Anterior part middle turbinoplasty in endoscopic s...
- What is the role of the surgeon in the management ...
- Isolated Superficial Sylvian Vein Thrombosis MRI
- Ears of the lynx sign MRI Brain
- Leukoencephalopathy, brain calcifications and cyst...
- MicroRNA-139-5p improves sepsis-induced lung injur...
- NEIL3 contributes toward the carcinogenesis of liv...
- Primary pelvic exenteration: Our experience with 2...
- Fas regulates the apoptosis and migration of troph...
- Solanum melongena allergy (A comprehensive review)
- Dexmedetomidine alleviates inflammation in neuropa...
- Role and dynamics of matrix metalloproteinase 9 an...
- Network pharmacology-based prediction of the activ...
- A multidisciplinary approach in the diagnostic cha...
- Inhibition of autophagy promotes human RSV NS1-ind...
- Omega plate for the treatment of acetabular fractu...
- CGFe and TGF-β1 enhance viability and osteogenic d...
- External cervical resorption: Radiological diagnos...
- Bilirubin is a specific marker for the diagnosis o...
- IL-17F promotes osteoblastic osteogenesis via the ...
- Association between obstructive sleep apnea and th...
- Metastatic Follicular Thyroid Carcinoma Presenting...
- Acute Vision Loss From IgG4-Related and Bacterial ...
- Continuous Local Anesthetic Wound Infusions as Pos...
- Olfactory Bulb Volume—A Novel Preclinical Biomarke...
- Evaluation of the Neuroanatomical Basis of Olfacto...
- Maternal Thyroid Hormone Programs Cardiovascular F...
- Predictive Value of Serum Thyroglobulin for Struct...
- Thyroglossal Duct Cyst Located in the Thyroid Glan...
- High-grade salivary gland cancer: is surgery follo...
- Cholesteatoma Causing a Horizontal Semicircular Ca...
- Cochlear Implant Research and Development in the T...
- High DNMT1 Is Associated With Worse Local Control ...
- Factors Contributing to Missed Appointments in a P...
- Long‐Term Voice Outcomes Following Cricotracheal R...
- Comparative Effectiveness of Recurrent Laryngeal N...
- Anatomical consideration of deep calf veins: appli...
- Predisposing conditions for bacterial meningitis i...
- Persistent otorrhoea caused by cerebrospinal fluid...
- Role of primary tumor resection in patients with m...
- The United Kingdom Thyroid Multi‐Disciplinary Team...
- Reliability of Early Ambulation after Intradural S...
- Mediastinal anatomical landmarks, their variants a...
- Voice Outcomes Following Colon Interposition
- Clinical Approaches to External Auditory Canal Hem...
- CT Findings of Firework Injuries to the Head and Neck
- Dural Bleeding After Endoscopic Sinus Surgery
- Multidisciplinary Simulation Training for Surgical...
- Intravascular Guidewire Residue After Endovascular...
- Clinical Trial to Reconfirm the Efficacy and Safet...
- Subjective Voice Outcomes in Surgeon Versus Techni...
- Effects of Gynostemma pentaphyllum on spinal cord ...
- Reliability and Correlations Between Overall Sever...
- 92. Jahresversammlung der DGHNO-KHT 2021 erstmals ...
- Abdomen and thorax clinical anatomy: from viscera ...
- Skin Microbiome Alterations in Seborrheic Dermatit...
- Expression of clec9a in the oral cancer microenvir...
- Frailty and risk of complications in head and neck...
- ► Φεβρουαρίου (64)
- ► Ιανουαρίου (368)
-
►
2020
(4554)
- ► Δεκεμβρίου (400)
- ► Σεπτεμβρίου (381)
- ► Φεβρουαρίου (638)
- ► Ιανουαρίου (691)




Δεν υπάρχουν σχόλια:
Δημοσίευση σχολίου